Popular Posts
Shocking Discovery-Toxins Found in General Mills Cereal
In a recent revelation, General Mills, Inc. unveiled its latest breakfast sensation, "LOADED," on February 1, 2024. This innovative offering promised jumbo squares of...
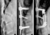
What is Spondylolisthesis?
Spondylolisthesis is a serious and painful disorder of the spine characterized by a displaced vertebra that puts pressure on the surrounding nerves, tissues and...
Types of Back Pain Treatment
Like many forms of pain, back pain has numerous treatment and care methods that work to prevent or get rid of back pain from...
Qi Gong an Ancient Healing Modality
Qigong (is also spelled Chi Kung or Chi Gung) is a gentle exercise composed of movements that are repeated a number of times, which...
What is a Herniated Disc?
Discs of cartilage act as cushions between the vertebrae or bones in the spine. These cushions are known as intervertebral discs. When a disc...
Interesting Posts
Shocking Discovery-Toxins Found in General Mills Cereal
In a recent revelation, General Mills, Inc. unveiled its latest breakfast sensation, "LOADED," on February 1, 2024. This innovative offering promised jumbo squares of...
Unlocking Nature’s Beauty: 4 Essential Natural Ingredients for Skin Care
Your skin, the body's largest organ, serves as a vital barrier against external elements. However, dry skin is a prevalent issue that can lead...
Average Person Asleep by 10 but Still Wakes Up Tired
In a recent survey of 2,000 adults, the average bedtime was found to be before 10 p.m., with 9:54 p.m. being the exact average...


































